Invisalign
If you want to straighten your teeth without having to sacrifice your confidence wearing braces, you do have other treatment options.
Drs. Martin and Derek Farnsworth offer Invisalign®, a discreet alternative to traditional orthodontics at our Mesa, AZ, dental practice.
Learn more about the advantages of clear aligners and find out if the treatment is right for you.
What Is Invisalign?
The Invisalign orthodontic system is designed to correctly position your teeth and bite with a series of clear removable trays. You will wear each aligner for a few weeks, and then switch it out for the next in the series until treatment is complete. While the timeline varies from patient to patient, Invisalign orthodontic treatment usually lasts between 12 and 18 months.

The Health Benefits of Invisalign
Invisalign has more than just cosmetic benefits. Teeth that are crowded or rotated are more difficult to clean than aligned teeth, increasing your risk of cavities, infections, and gum disease. Having evenly spaced teeth in proper alignment makes brushing and flossing easier.
Meanwhile, having an overbite or underbite can cause issues with your temporomandibular joints, which connect your jaw to your skull. Having an unbalanced bite can cause these joints to become inflamed, resulting in headaches, jaw pain, and other symptoms. The results of an Invisalign treatment plan can keep your smile healthy, comfortable, and attractive.
Why Choose Las Sendas Dental Health for Your Invisalign Treatment?
State-of-the-Art Technology
We use 3D cone beam computed tomography to pinpoint even the smallest dental issues, which allows our dentists to create a comprehensive Invisalign treatment personalized to your needs.
Comprehensive Care
Our Mesa dentists can perform several different procedures, eliminating the need to schedule appointments with multiple specialists. If you need dental treatment beyond Invisalign, Las Sendas Dental Health can provide these services for you.
Highly Rated
We believe in providing exceptional care and services for all of our patients. As a result, our dental office has earned hundreds of five-star reviews.
Transforming Mesa Smiles Hear from Real Patients
From the greeting when I walk in the door until the final “Have a great day” as I leave, I always feel like the people that I interact with at Las Sendas Dental really care about me and the goals I have for my teeth. I have a fairly large procedure coming up and they definitely went above and beyond today trying to make it happen before an event I have coming up in a couple of months. I have been going here for many years and I’ve always been happy with their work!
View on GoogleExcellent TLC as always! Couldn’t ask for a more caring, compassionate dental office to take care of me and my families needs! From the moment you step in you are treated like family! First class All the way!!
View on GooglePaying for Your Treatment
While insurance benefits can vary widely, Invisalign treatment may be included in your orthodontic coverage. Las Sendas Dental Health accepts most major forms of dental insurance and can work with your provider to ensure you get the most from your benefits. You also have the option of financing your treatment through CareCredit® or LendingClub®. If you have any questions about payment plans or flexible financing, please reach out to our Mesa dental office, and we will be happy to assist you.
Am I a Good Candidate?
The best candidates for Invisalign have mild to moderate dental misalignment and otherwise healthy teeth and gums. Patients with severe cases might do better with traditional braces. Remember, Invisalign only works if you actually wear your clear aligners, so it is not recommended for forgetful individuals.
Find Out if You Qualify
Schedule Your Free Consultation
The best way to find out if you qualify for Invisalign is to schedule a risk-free consultation at our Mesa, AZ, office. We will be happy to examine your teeth free of charge and determine if aligners are right for you. Our team at Las Sendas Dental Health can also help you explore flexible financing options to help you receive the treatment you want without breaking your budget. Get started on your Invisalign journey today! Make an appointment online or by calling:
(480) 907-0967
Reviews From Our Smiling Patients
Stellar office - from the front to the back - all of the staff & doctors are wonderful. They're friendly, knowledgeable, efficient and are the costs are very fair. My husband and I don't have dental insurance; as cash patients we don't have to go broke to go to the dentist.
View on GoogleAbsolutely lv Las Sendas Dental! Staff is amazing and friendly. The Doctor is amazing and friendly. My husband and I are so blessed we found them.
View on GoogleDo I Need an Orthodontist to Be Approved for Treatment?
An orthodontist is a dentist who specializes in diagnosing and creating treatment plans for malocclusion, or misaligned teeth. Although an orthodontist is often essential when it comes to complex cases, they are not necessary for you to be approved for Invisalign treatment.
The dentists at Las Sendas Dental Health in Mesa are trained in the Invisalign system and can determine if you are a candidate for clear aligners. Since these aligners are designed to straighten teeth that have mild to moderate misalignment, an orthodontist is not necessary to create a treatment plan.
Preparing for Invisalign Treatment
You must be in good oral health and free of dental concerns such as tooth decay and gum disease before your treatment begins. This ensures a healthy foundation and reduces the chance of complications during treatment. If you have oral health concerns, our Mesa dentists offer comprehensive dentistry options to help you qualify for Invisalign treatment. During your initial consultation, your dentist will create a custom treatment plan to help you achieve the healthy, beautiful, and functional smile you have always dreamed of.
Invisalign Treatment Steps
"With proper maintenance, the results of treatment are essentially permanent."
Caring for Your Teeth and Aligners
Remove Aligners Before Eating
Remove your aligners before you eat. When they are not in your mouth, be sure to place your aligners in a protective case to prevent damage or loss. Rinse them with cool or warm water before you put them back in your mouth.
Clean Aligners
Clean the aligner trays using a mild soap or non-abrasive toothpaste and a soft-bristled toothbrush. Rinse with cool or warm water. Do not use hot water, as this could warp your Invisalign trays.
Maintain Oral Hygiene
Brush your teeth at least twice a day and floss once a day. Attending your regular exams and cleanings at our office in Mesa, AZ, is also important to maintain optimal oral health throughout treatment.
Are You Ready to Transform Your Smile?
Life is too short to go around feeling self-conscious about your smile or allowing minor misalignment to put you at greater risk of tooth decay and other oral health issues.
The team at Las Sendas Dental Health is here to provide transformative results without the hassle and discomfort of traditional braces. With our help, you'll experience a whole new level of confidence in your smile without having to suffer through months of avoiding your favorite foods and a complicated brushing and flossing ritual.
Ready to get started? Request a consultation with our form or contact our Mesa dental office by phone.
Call (480)283-5854
Providing Quality Dental Care
for Mesa and Beyond
"Very nice! I was impressed. The staff were friendly and knowledgeable. Dr. Martin was very nice and patient answering all of my questions. The facility is very clean and professional and I was very comfortable there. I highly recommend them."
Kim Shafer
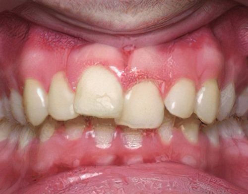
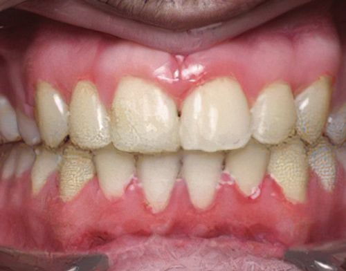
Check Out an Incredible Transformation
Pictured below is a real patient from our Mesa, AZ, practice who straightened his teeth with Invisalign aligners.


Frequently Asked Questions About Invisalign Treatment
Are there dietary restrictions during Invisalign treatment?
A. Because the aligner trays are removable, there are no dietary restrictions during treatment. You can eat the foods you love without worrying about breaking or dislodging metal wires or brackets.
Does Invisalign treatment hurt?
A. There may be some mild discomfort when you first start treatment or when you switch to a new set of aligners. However, this is usually easily managed with over-the-counter pain medication and should only last a few days. If your pain is severe or your aligners rub or irritate your gums, please contact our Mesa dental office so we can address your concerns promptly.
Is there an age requirement for Invisalign treatment?
A. Patients who undergo Invisalign treatment need to be responsible enough to wear and maintain the aligners. Because of this, aligners may not be best for children. However, during your consultation, you and your dentist can discuss if your child may be a good candidate.
What should I do if I lose an aligner tray?
A. It is important that you wear your aligners for 20-22 hours a day. If you lose an aligner tray, wear the last tray you have for that dental arch and contact our office in Mesa, AZ, so we can get you a new one. We highly recommend using a protective case when you are not wearing your aligners to prevent losing them.
Have more questions or want to discuss Invisalign treatment? We are happy to help. Contact our office in Mesa, AZ, to get started.
More 5-Star Reviews From Our Patients
This was my third visit and I have no complaints. I enjoyed the hospitality and friendly atmosphere. I will continue to come here.
View on GoogleThe best care and such a wonderful relaxing atmosphere
View on Google